A woman was diagnosed with Flour Bag Lung after prolonged exposure to flour while wrapping chicken nuggets for deep-frying.
Inhale fine flour for a long time at work, you may also have lung problems.
Working for extended hours in environments with fine flour particles can lead to respiratory issues. In the case of a 67-year-old woman surnamed Ning, who worked in a factory wrapping chicken nuggets with flour, prolonged exposure triggered a condition known as Flour Bag Lung, a type of allergic alveolitis. Fortunately, the condition was promptly discovered, and the cause was identified. The woman was able to avoid pulmonary fibrosis. Under medical guidance, she now wears a mask during work to prevent further inhalation of flour.
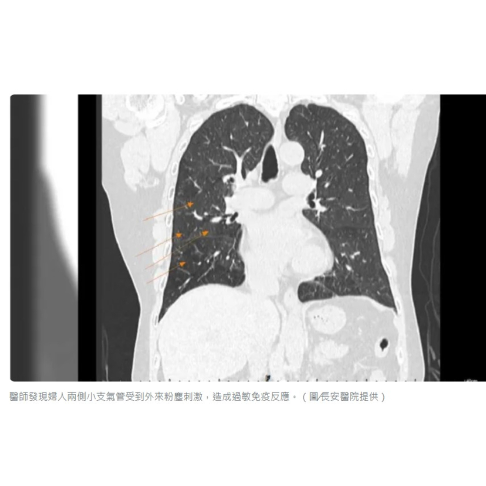
The woman, suffering from chronic asthma, chronic cough, and chest tightness for years, underwent medical examination. Initial chest X-rays showed minor infiltration and swelling. However, a computed tomography (CT) scan revealed distinctive patchy changes on both sides of the lungs, resembling a quilt pattern. Dr. Hsu Jen-wen, a pulmonologist at Chang An Hospital, explained that these changes indicate irritation of the small bronchi on both sides due to external dust exposure, triggering an allergic immune response and causing persistent inflammation in the lungs.
Dr. Hsu emphasized that severe lung inflammation could lead to pulmonary fibrosis, commonly known as Flour Bag Lung, with a mortality risk higher than that of cancer. Further inquiries revealed that the woman's occupation involved working in a chicken nugget factory, wrapping the nuggets with a thick layer of flour before deep-frying. Continuous inhalation of flour dust into the bronchi and lungs caused allergic alveolitis. Dr. Hsu pointed out that, with an understanding of the relationship between the disease and work environment, the woman now wears a sealed mask throughout her work, effectively protecting her lungs. Her symptoms have significantly improved, and she no longer experiences recurrent asthma attacks.
Dr. Hsu also advised the public that if they experience symptoms such as persistent dry cough or prolonged wheezing for more than eight weeks, it is recommended to undergo examination at a pulmonology clinic to prevent delays in diagnosing and treating potential conditions.
News Resource: https://reurl.cc/qr0dNg
